Popis jednotlivých částí

  1. Corpus callosum
  2. Nucleus caudatus
  3. Septum pellucidum
  4. Fornix
  5. Globus pallidus
  6. Putamen
  7. Capsula interna
  8. Thalamus

ZPĚT

Obrazek5b.png, 363kB btn.png, 3,4kB btn.png, 3,4kB btn.png, 3,4kB btn.png, 3,4kB btn.png, 3,4kB btn.png, 3,4kB btn.png, 3,4kB btn.png, 3,4kB

Popis jednotlivých částí - anatomický

  1. Corpus callosum
  2. Nucleus caudatus
  3. Septum pellucidum
  4. Fornix
  5. Globus pallidus
  6. Putamen
  7. Capsula interna
  8. ZPĚT

Obrazek1a.png, 798kB btn.png, 3,4kB btn.png, 3,4kB btn.png, 3,4kB btn.png, 3,4kB btn.png, 3,4kB btn.png, 3,4kB btn.png, 3,4kB

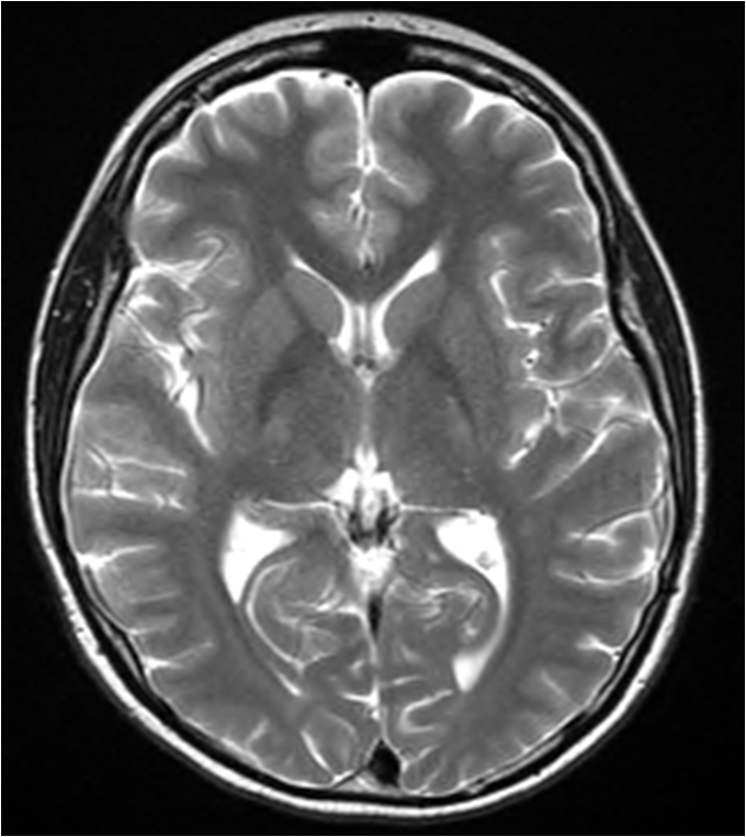
Popis jednotlivých částí

  1. Corpus callosum
  2. Nucleus caudatus
  3. Septum pellucidum
  4. Fornix
  5. Globus pallidus
  6. Putamen
  7. Capsula interna
  8. Thalamus
  9. Commissura habenularum
  10. Hippocampus

ZPĚT

Obrazek5a.png, 404kB btn.png, 3,4kB btn.png, 3,4kB btn.png, 3,4kB btn.png, 3,4kB btn.png, 3,4kB btn.png, 3,4kB btn.png, 3,4kB btn.png, 3,4kB btn.png, 3,4kB btn.png, 3,4kB

Popis jednotlivých částí - anatomický náhled

  1. Corpus callosum
  2. Nucleus caudatus
  3. Septum pellucidum
  4. Fornix
  5. Globus pallidus
  6. Putamen
  7. Capsula interna
  8. Thalamus
  9. ZPĚT

kazuistika 1b.jpg, 117kB btn.png, 3,4kB btn.png, 3,4kB btn.png, 3,4kB btn.png, 3,4kB btn.png, 3,4kB btn.png, 3,4kB btn.png, 3,4kB btn.png, 3,4kB