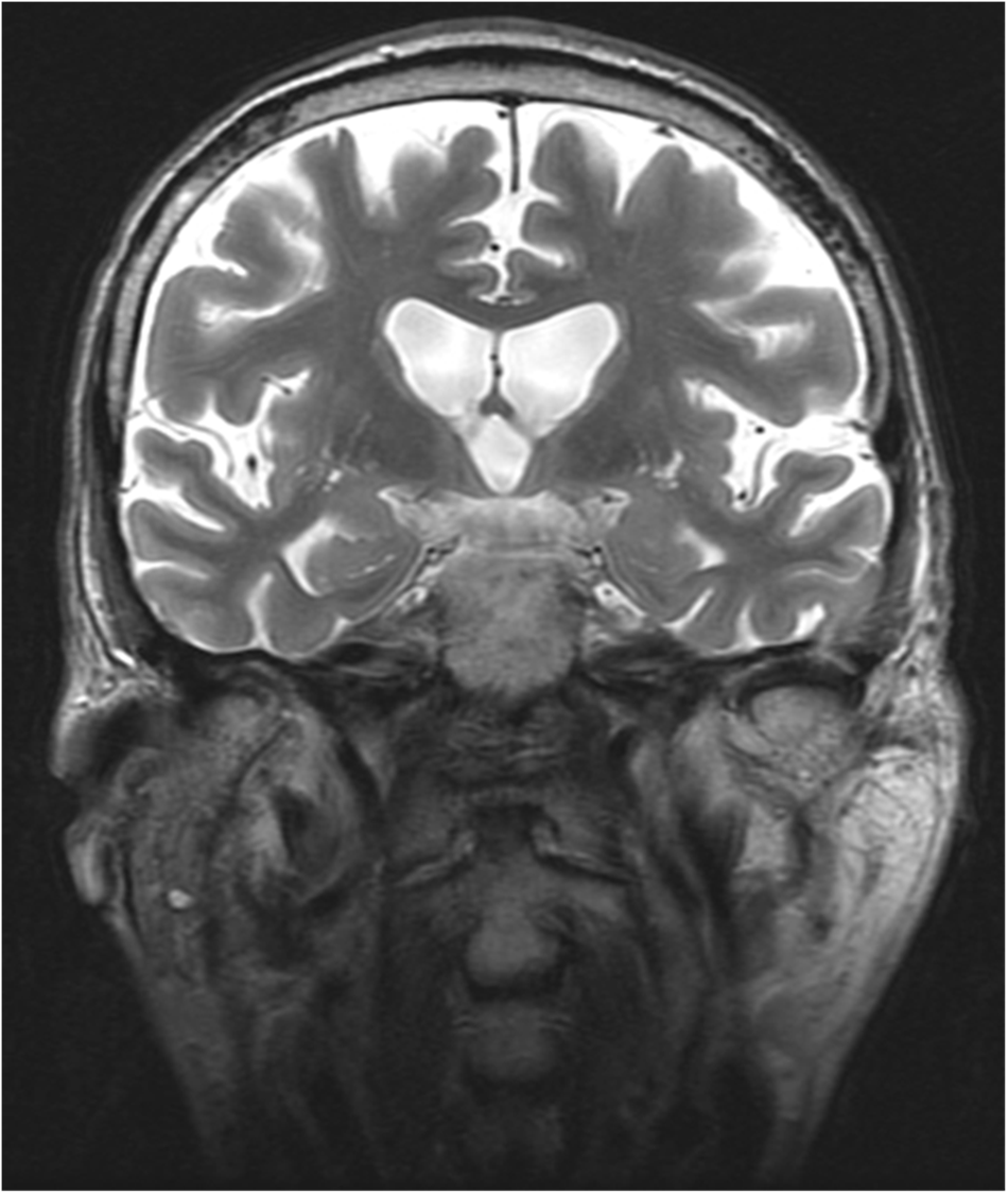
Popis jednotlivých částí

  1. Corpus callosum
  2. Nucleus caudatus
  3. Septum pellucidum
  4. Fornix
  5. Globus pallidus
  6. Putamen
  7. Capsula interna
  8. Thalamus
  9. Plexus choroideus ventriculi tertii

ZPĚT

Obrazek1a.png, 798kB btn.png, 3,4kB btn.png, 3,4kB btn.png, 3,4kB btn.png, 3,4kB btn.png, 3,4kB btn.png, 3,4kB btn.png, 3,4kB btn.png, 3,4kB btn.png, 3,4kB

Popis jednotlivých částí

  1. Corpus callosum
  2. Nucleus caudatus
  3. Septum pellucidum
  4. Fornix
  5. Globus pallidus
  6. Putamen
  7. Capsula interna
  8. Thalamus
  9. ZPĚT

kazuistika 1b.jpg, 117kB btn.png, 3,4kB btn.png, 3,4kB btn.png, 3,4kB btn.png, 3,4kB btn.png, 3,4kB btn.png, 3,4kB btn.png, 3,4kB btn.png, 3,4kB

Popis jednotlivých částí

  1. Corpus callosum
  2. Nucleus caudatus
  3. Septum pellucidum
  4. Fornix
  5. Globus pallidus
  6. Putamen
  7. Capsula interna
  8. ZPĚT

btn.png, 3,4kB btn.png, 3,4kB btn.png, 3,4kB btn.png, 3,4kB btn.png, 3,4kB btn.png, 3,4kB btn.png, 3,4kB

Popis jednotlivých částí

  1. Corpus callosum
  2. Nucleus caudatus
  3. Septum pellucidum
  4. Fornix
  5. Globus pallidus
  6. Putamen
  7. Capsula interna
  8. ZPĚT

Obrazek1a.png, 798kB btn.png, 3,4kB btn.png, 3,4kB btn.png, 3,4kB btn.png, 3,4kB btn.png, 3,4kB btn.png, 3,4kB btn.png, 3,4kB